العدوانية حليمي الرقمية غدية هي النهايات الأورام، والتي لديها مجموعة واسعة المورفولوجي وقد يسبب الارتباك التشخيص. في السابق ، كان يتم تقسيم الأورام إلى ورم غدي وسرطان غدي على أساس اللانمطية ، ولكن تم تنقيح ذلك: حتى الأورام اللطيفة قد تتصرف بطريقة خبيثة .
علم الأنسجة من الورم الحميد الحليمي الرقمي العدواني
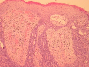
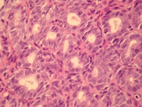
في العدوانية غدية حليمي الرقمية، وتظهر مقاطع مقرها جلدهم الورم ، والتي قد تواصل مع المغطي البشرة (الشكل 1). قد يكون الورم كيسيًا أو حليميًا أو أقنويًا أو صلبًا . يحتوي المثال الموضح هنا على مورفولوجيا صلبة في الغالب وقناة مع مناطق محورية فقط للتكوين الحليمي. الخلايا قاعدية ، تظهر نوى غير نمطية متضخمة ، نوى كبيرة ومخففات متزايدة (الأشكال 1-6). يمكن رؤية الحؤول الحرشفية داخل الورم (الشكل 5).
علم أمراض سرطان الغدة الحليمي الرقمي العدواني

شكل 1

الشكل 2

الشكل 3

الشكل 4

الشكل 5

الشكل 6
دراسات خاصة لسرطان الغدة الحليمي الرقمي العدواني
عموما هناك حاجة إلى أي شيء. في الحالات التي يتم مواجهتها في العقد الليمفاوية ، قد تكون هناك حاجة لدراسات كيميائية مناعية لاستبعاد ورم خبيث من الثدي أو الغدة الدرقية أو مواقع الجهاز الهضمي.
التشخيص التفريقي للورم الغدي الحليمي الرقمي العدواني
سرطان الغدة النقيلي – قد تكون هناك حاجة إلى التاريخ السريري والدراسات المناعية الكيميائية لاستبعادورم خبيث جلدي أو عقدي من موقع آخر.
ورم adnexal الحميد – يمكن أن يكون بعض هذه الأورام لطيفًا بشكل خادع. يساعد الموقع اللامع وتسلل الهياكل العميقة والبشرة ونمط النمو في الوصول إلى التشخيص الصحيح (الخبيث).